Robo Papp je dlhodobo odporcom očkovania ľudí, všetkého typu. Už v roku 2013 ostro kritizoval očkovanie detí: https://www.cas.sk/prominenti/prominenti-domaci/v-telerane-chvalili-ockovanie-deti-spevak-robo-papp-zuri zdroj: https://www.instagram.com/reel/DPEYRrKiCuX/ Send article as PDF
Read More »Lekár upozorňuje: aj strata sluchu, zraku môže byť spojená s infarktom po očkovani
Infarkty a zrazeniny sa netvoria len na srdci, ale môžu viesť aj k strate sluchu, často náhla strata alebo zhoršenie sluchu na jednej strane. Upchatim nejakej cievy sa zhorší alebo zastaví prekrvenie časti, ktorú vyživuje… a prejavy neprekrvenia mozgu, srdca, orgánov sú rôzne… v tomto nielen očkovanie na COVID-19, ale …
Read More »Vedec Štec: Lipidové nanočastice vo vakcínach sposobujú zápal v bunkách a poškodzujú tieto časti ľudského tela
„Nedávna štúdia z Pennsylvánskej univerzity (UPenn) ukázala, že lipidové nanočastice, ktoré transportujú mRNA COVID-19 vo vakcínach, spôsobujú zápal v bunkách. Výskumníci testovali na zvieratách niekoľko rôznych formulácií lipidových nanočastíc, vrátane ALC-0315 a SM-102, ktoré sa používajú vo vakcínach COVID-19 od spoločnosti Pfizer a Moderna. Zistili, že všetky testované lipidové nanočastice …
Read More »Ako sa začalo očkovať na Slovensku len za rok narastol počet Parkinsonikov o 25%
Práve neurologické ochorenia patria medzi najčastejšie komplikácie očkovania. Bolesti hlavy, zhoršenie migrén, závraty, odpadávanie. Hneď po očkovaní odpadla aj americká sestrička Tiffany Dover, o ktorej sa mlčí…. https://www.inenoviny.sk/sestricka-odpadla-po-podani-vakciny-na-covid-internetom-sa-siri-ze-zomrela-podla-medii-ide-o-hoax/ Send article as PDF
Read More »Aké ochorenia spôsobujú vakcíny sa nedozvieme, úrady to nekontrolujú
Spôsobujú vakcíny na očkovanie rakovinu? Písal som Ministerstvu zdravotníctva otázky ohľadom počtu nádorových ochorení na Slovensku a som zhrozený z odpovede. Vakcíny na očkovanie COVID-19 boli v 3 fáze klinického testovania, keď sa nimi začalo očkovať. Čiže bolo povinnosťou zbierať dáta u očkovaných a sledovať vedľajšie účinky. To ministerstvo zdravotníctva …
Read More »Vedec upozorňuje: Nadmerne zomierajú ľudia, štáty tajá dáta
300.000 nadmerných nekovidových úmrtí mladých ľudí v USA od 14 týždňa 2021. USA (aj Kanada) prestáva publikovať dáta o úmrtiach: Vysvetlenie autora grafu: Alebo absencia liečby (napríklad použitím FLCCC protokolov) ľahkého a stredného Kovidu, ALEBO faktor , ktory sa objavil v jari 2021 Čo je ale ešte šokujucejšie, najprv CDC …
Read More »Po očkovaní častejšie vysoký bilirubín, lymfocyty, ekzémy, alergie
V praxi mi pribúda pacientov, ktorí sú očkovaní a krátko po očkovaní im stupnú hladiny bilirubínu a prehodia sa percentá zastupenia bielých krviniek v prospech lymfocytov a naopak poklesnú neutrofily. U tých pacientov často vidieť alergie, ekzémy, očné bielka majú také zakalené, zožltnuté…alebo žltý nádych. Ak začnete mať problémy po …
Read More »V nemocnici končí viac očkovaných ako neočkovaných
Od očkovania treťou dávkou prešlo pol roka. No kampaň k štvrtej dávke neexistuje (ani len pre seniorov). Vyfučala. Napriek tomu, že EÚ nakúpila miliardy vakcín od spoločnosti Pfizer, ktoré má „na sklade“… Odpoveď, prečo je to tak, je zrejme v dátach: – podľa Ag testov je medzi infikovanými až 77 …
Read More »Lekár sa pýta, postcovidový alebo postvakcinačný syndróm?
Mal som jedného pacienta, ktorý sa dostavil pre psychické problémy po prekonanom COVIDe. Medzi jeho prvými vetami bolo, že trpí postcovidovým syndrómom. Tak som sa ho spýtal, či je očkovaný. Odpoveď ma neprekvapila, 3x zaočkovaný. Posledná dávka ani nie pred mesiacom a 2 týždne predtým ako vyšiel pozitívny na COVID. …
Read More »Vakcínam podľahlo vo Švédsku viac ľudí než prasacej chrípke
Vakcínam podľahlo vo Švédsku viac ľudí než prasacej chrípke Vo Švédsku sa rozbehlo vyšetrovanie nebezpečných vedľajších účinkov vakcíny proti vírusu chrípky A(H1N1), nazývanej prasacia, po tom, čo po očkovaní zomreli ďalší ľudia. V tejto škandinávskej krajine zaznamenali celkovo 1778 prípadov nákazy vírusom H1N1 u ľudí a pritom sa vyskytli iba …
Read More »133x vyššie riziko myokarditídy po očkovaní
Najvyššie riziká myokaraditídy sú v nižšej vekovej kategórií, tam kde očkovanie stráca zmysel. Najrizikovejšie skupiny na získanie zápalu srdca (myokarditídy) boli mladí ľudia a detí vo veku od 12 do 24 rokov. 96% postihnutných jedincov muselo byť hospitalizovaných. V článku sa poukazuje na význam očkovania, ktoré už nechráni pred novými …
Read More »Pfizer upozorňuje na krvné zrazeniny a pľúcnu embóliu
Vakcíny nemajú žiadne vedľajšie účinky. Povestná veta, ktorú z úst vypustili „odborníci“ ako Peter Sabaka a spol. Samotný výrobca vakcín na COVID-19 už priznáva jedny z najčastejšich vedľajšich účinkov po očkovaní. Pfizer upozorňuje na Twitteri: Hlboká žilná trombóza (#DVT), krvná zrazenina v hlbokej žile, sa môže dostať do pľúc, čo …
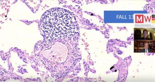
Read More »Prečo nemôžu fungovať vakcíny na COVID-19
Histopatologická štúdia :O vakcínach COVID: prečo nemôžu fungovať a nezvratné dôkazy o ich príčinnej úlohe pri úmrtiach po očkovaní. Prečo vakcíny nemôžu chrániť pred infekciou. Základnou chybou pri vývoji vakcín COVID-19 bolo zanedbanie funkčného rozdielu medzi dvoma hlavnými kategóriami protilátok, ktoré telo produkuje, aby sa chránilo pred patogénnymi mikróbmi. Prvú …
Read More »Internetom sa šíria videá, kde ľudia odpadávajú a trasie ich po očkovaní
zdroj: https://www.facebook.com/karolina.zuskinova/posts/266615398756989 zdroj: https://www.facebook.com/martin.sedmak.5/videos/3810162225753115/ Send article as PDF
Read More »Austrálska herečka mala porážku po očkovaní, učí sa chodiť
Melle Stewart, austrálska herečka mala mozgovú porážku po očkovaní na COVID-19. Aktuálne sa učí chodiť a rozprávať. Bolo nutné je odstrániť časť mozgu, aby prežila. Lekári potvrdili, že mala po očkovaní trombocytopénicku trombózu, krvné zrazeniny, ktoré spôsobili mozgovú porážku. Po operáci bola herečka v umelej kóme skoro 4 týždne. Herečka …
Read More »